歯並びや口元の状態、治療に対する患者さんのご希望、どんなことが気になっているのか、詳しくお話をうかがいます。
お口の中を見せていただいた後、歯並びの問題点や矯正治療の流れ、治療期間、治療費用などについて分かりやすくご説明いたします。


裏側からの見えない舌側矯正治療を行っております。2019年よりデジタル舌側矯正を導入したことで、舌側矯正の精度が更に向上しました!お気軽にご相談ください。

当院は矯正専門のクリニックでありながら、虫歯や抜歯はもちろん、入れ歯からインプラント治療まで全ての治療に対応できます。

当院の診療室は7部屋すべてが完全個室となってます。周りの患者様に気を使うことなく、落ち着いた雰囲気でリラックスして治療を受けていただけます。

お母様が治療する際は、診療室にお子様も一緒に入っていただきDVDなどを観て遊べます。乳幼児をお連れの場合、当院で保管してあるベビーカーであやす事も可能です。

待合室には、専用のおしゃれなキッズルームがあり、おもちゃ、絵本、DVDが充実しています。小さなお子様を連れの方も来院しやすい環境です。

矯正治療を受ける多くの患者様のために、費用を最大限まで抑えてご提供しております。

矯正治療が必要な理由
矯正治療はただ見た目をキレイにするだけのものだと思っていませんか?
矯正治療の真の目的は、ガタガタの歯並び、出っ歯、受け口などを治すことにより見た目以上に良好な咬み合わせを得ることなのです。
歯並びが悪いと歯磨きが難しいため、汚れが残りやすい口腔内環境となり虫歯や歯肉炎、歯周病といった歯の病気にかかりやすくなります。そして、虫歯、歯周病になると結果的に歯の寿命が短くなってしまいます。また、咬み合わせが悪いと、しっかり咬む事が出来ず、下アゴの関節に負担がかかり顎関節症という病気を引き起こしてしまう原因にもなります。
食事をする上で一生使っていかなければならない歯は貴重な財産です。
80歳以上で20本以上の歯を残している方の多くは正常咬合(良好な歯並び)であり、不正咬合(悪い歯並び)ではありません。その事からも歯並び、咬み合わせを良くすることは、今後の人生に大きなメリットをもたらします。歯並び、咬み合わせが悪いと悩んでいる方は、矯正してキレイで健康な歯になりましょう!
矯正歯科治療とは、歯並びと咬み合わせの改善を目指した治療です。
大人の矯正治療は歯をきれいに並べ、最終的な咬み合わせを作ることを目的としています。
それに対して、小児矯正はあごの成長速度のコントロールや、そのままにしておくと成長に悪い影響をあたえる咬み合わせを治療します。
小児期に歯並びや咬み合わせが悪いと、大人になってからもずっと心理的な悪影響を受けたり、虫歯や歯周病、顎関節への影響が出てきます。
小児期に歯並び・咬み合わせの治療を行うことでこれらの心配を予防することができます。
歯並びが悪くなると、以下のようなことが生じてくる可能性があります。
特に精神面については、矯正治療を行うことで、今まで笑わなかったお子さんに笑顔が見られるようになったケースもあります。
矯正治療でコンプレックスを解消し、歯並びや咬み合わせを美しく自然に治すことで心の健康を守ることができます。
矯正治療の流れ
歯並びや口元の状態、治療に対する患者さんのご希望、どんなことが気になっているのか、詳しくお話をうかがいます。
お口の中を見せていただいた後、歯並びの問題点や矯正治療の流れ、治療期間、治療費用などについて分かりやすくご説明いたします。
あごのバランスや位置、歯の状態を詳しく確認するためにデジタルレントゲン写真をお撮りします。
歯型、顔やお口の写真、あごの動きも検査いたします。
精密検査の結果をご報告し、治療方針・期間、メリット、デメリット、費用などを含め、考えられる矯正治療を幾つかご提案・ご説明いたします。
治療への希望や疑問・不安などをお聞きした上で、納得のいただける治療法で治療を進めていきます。
1ヵ月に1度来院していただき、矯正装置の調整をして歯を動かしていきます。治療期間は約2年です。
また、来院ごとに歯磨きの練習や歯のクリーニング(PMTC)を行い、虫歯や歯周病の予防をしながら治療を続けていきます。
約2年間の治療が終了し、装置を外したばかりの歯は、元の位置に戻ろうとするため、取り外しの出来る保定装置(リテーナー)を使用し、きれいになった歯並び、咬み合わせを安定させます。
3〜4ヶ月に一度来院していただき、咬み合わせのチェックや虫歯・歯周病予防を行います。
矯正装置
単結晶サファイアを使用したセラミック製ブラケットで、宝石のような輝きと透明感を持っており、ホワイトワイヤーとの組み合わせで表側からの矯正器具としては最も目立ちにくいものとなっております。
装置装着例
上の歯は裏側に、下の歯は表に装置を付け、矯正する方法です。(舌側矯正ではオススメです。)
※2019年よりフルデジタル舌側矯正(WIN)を採用。
上下の歯の裏側に装置を付け、矯正する方法です。
※2019年よりフルデジタル舌側矯正(WIN)を採用。
カリエールモーションを使った矯正治療とは、クラスⅡ(出っ歯)、クラスIII(受け口)の臼歯関係を最初の3~6ヶ月でクラスIに是正したのちに、矯正治療を進めていくという画期的な治療法です。
臼歯関係の是正は、従来の方法であればうまく治らない場合が極めて多く、ブラケットによる矯正治療を開始する前段階でカリエールモーションにより是正することで以下の点が期待できます。
①非抜歯矯正
②審美性と機能性に優れた治療結果
③治療期間の短縮
④矯正治療のストレス軽減
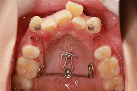
直径6ミリ程のスクリュータイプのミニインプラントを歯ぐきに埋めることで、良好な治療結果が得られ、治療期間も短縮できます。また大がかりな矯正装置を使う必要がなくなります。当院では、通常、上アゴの奥に2本埋め込みます。歯ぐきに埋め込むといっても、局所麻酔下にて行いますので、痛みはなく10分程度で終わる簡単な埋め込み術です。
マルチブラケット装置にて矯正治療が終了したあと、後戻りを防ぐために使用する装置です。
矯正費用
矯正検査料と矯正施術料を合計したものが矯正料金となります。当院ではより多くの患者様に矯正治療を受けていただきたいため、分かりやすく安心していただける料金設定に心掛けております。
※料金はすべて税込価格です。
矯正歯科治療は公的医療保険の適用外の自費(自由)診療となります。
| 施術名 | 価格(税込) | 備考 |
|---|---|---|
| 相談料 | 無料 | お気軽にご相談ください。 |
| 一般検査/レントゲン検査 | 33,000円 |
|
| 診断 | 22,000円 |
|
| 施術名 | 価格(税込) | 備考 | |||
|---|---|---|---|---|---|
|
737,000円 | 単結晶サファイアを使用したセラミック製ブラケットで、宝石のような輝きと透明感を持っており、ホワイトワイヤーとの組み合わせで表側からの矯正器具としては最も目立ちにくいものとなっております。 | |||
| 毎月の調整料 | 2,000円程度 | 歯面清掃と虫歯・歯肉炎の有無を確認して、矯正治療の調整を行います。 | |||
最終調整&保定装置![]() |
0円 | 歯並びの細かな最終調整をマウスピースで行います。 さらに矯正後の後戻りを防止するため、このマウスピースを2~3年つけてもらいます。 |
| 施術名 | 価格(税込) | 備考 |
|---|---|---|
上顎のみ舌側矯正![]() |
1,045,000円 | 上の歯は裏側に、下の歯は表に装置を付け、矯正する方法です。(舌側矯正ではオススメです。) ※2019年よりフルデジタル舌側矯正(WIN)を採用。 |
上下顎とも舌側矯正![]() |
1,210,000円 | 上下の歯の裏側に装置を付け、矯正する方法です。 ※2019年よりフルデジタル舌側矯正(WIN)を採用。 |
| 毎月の調整料 | 2,000円程度 | 歯面清掃と虫歯・歯肉炎の有無を確認して、矯正治療の調整を行います。 |
最終調整&保定装置![]() |
0円 | 歯並びの細かな最終調整をマウスピースで行います。 さらに矯正後の後戻りを防止するため、このマウスピースを2~3年つけてもらいます。 |
| 施術名 | 価格(税込) | 備考 |
|---|---|---|
| 部分矯正 | 片顎 330,000円 |
全体の噛み合わせが良好な場合に限り、前歯のガタつきを矯正できます。 |
| 両顎 440,000円 |
||
| 毎月の調整料 | 2,000円程度 | 歯面清掃と虫歯・歯肉炎の有無を確認して、矯正治療の調整を行います。 |
| 施術名 | 価格(税込) | 備考 |
|---|---|---|
| 小児矯正 | 330,000円 | 小学生の矯正治療です。 主に反対咬合が治療の対象となります。 反対咬合以外の歯並びの場合、中学生になるまで経過観察することが多いです。 |
| 毎月の調整料 | 2,000円程度 | 歯面清掃と虫歯・歯肉炎の有無を確認して、矯正治療の調整を行います。 |
| 施術名 | 価格(税込) | 備考 |
|---|---|---|
アンカースクリュー![]() |
(本数に関係なく一律料金) 33,000円 |
効率的な歯の移動をするために、歯槽骨に小さなネジを埋め込みます。痛みはほとんどありません。 |
小臼歯抜歯![]() |
1本 4,400円 |
矯正のための便宜抜歯 |
※上記の料金は税込み価格です。
新時代の矯正治療

スピーディで確実な治療結果に期待!
最新鋭の口蓋骨アンカースクリューを矯正治療に導入しました。
まず痛そうですが、痛みはほとんどありませんのでご安心下さい。
歯列不正を引き起こしている原因は本当に様々な要素が相まっています。
歯の位置、歯の大きさ、顎の幅、上下のアゴの位置関係、etc...
矯正治療開始される患者様の2割はかなりシビアな状態であり、今までの矯正治療では100%の状態までキレイに治せないものでした。
患者様には莫大な時間と費用を費やしていただいているにも関わらず、私自身、納得のいく治療結果が得られなかったケースは少なからず存在します。
それは私だけでなく、矯正治療を専門として、より志が高い矯正医であれば、同じことを痛感しているはずです。
でも諦めてはいけません。
矯正歯科は日進月歩です。
治療法や材料は日々、進化しています。
そして、21世紀の矯正歯科界に舞い込んできた救世主が、このアンカースクリューなのです。
矯正治療には、120年の歴史があります。
その歴史の中で最大のギフトと言われているアンカースクリューとは一体何なのでしょうか?

矯正治療で動かしたい歯はいくらでも動かせますが、動かしたくない歯をいかに動かさずに留めておくかというのが難題であり、永遠のテーマだったのです。
そのアンカーロスを起こさない不動固定というのを確実なものとしたのが、アンカースクリューなのです。
歯をアンカーとせずに骨をアンカーとする事で、歯の引っ張り合いをさせることなく矯正治療が可能となりました。
初期のアンカースクリューは固定源として使うだけのものでしたが、矯正歯科界を代表する重鎮の先生方により進化していき、上顎の口蓋正中部に埋入したスクリューに、専用ワイヤーを装着することで、大臼歯のコントロール、前歯部のリトラクション、他多くのメカニクスのアンカレッジとして使用できるようになりました。
これにより、どんな歯並びも怖くありません!
当院のアンカースクリューを駆使した矯正治療にお任せ下さい。
(注)スクリューを入れた方が良さそうな場合のみ、カウンセリング時にご説明いたします。
痛そうだし、怖いから入れたくない方は遠慮なくおっしゃってください。
他の方法を検討します。
初期に開発されたアンカースクリュー

舌側矯正(裏側矯正)
当院の矯正治療はすべて矯正器具が目立たない審美性に優れたブラケットとワイヤーを使用して行っております。そのため、ギラギラと目立つ金属の器具は一切使用しません。また、他人から全く見えない舌側(裏側)矯正治療も行っておりますのでご相談ください。
舌側矯正(裏側矯正)とは、歯の表側に器具を付けるのではなく、歯の裏側に器具を付け矯正を行っていく治療法のことです。
矯正器具を歯の裏側に付ければ、人に気付かれることなく矯正治療を行うことができます。器具への抵抗から矯正が出来ない方や、職業柄、目立つ装置がつけられない方というには最適な治療法です。
舌側矯正は比較的新しい治療法で、従来の表側矯正と術式が異なることや、高度な技術を要するため、矯正専門医の間でも舌側矯正治療を嫌い、施術しないという先生は多くいらっしゃいます。そのため、患者様が舌側矯正を希望したのに、舌側矯正は時間がかかる、きれいに治らない、違和感が大きいなどと一般的に言われる舌側矯正のデメリットをあげて、表側矯正を勧められたというのはよくある話です。
しかし、そのようなことは決してありません。歯並びの状態によっては舌側矯正のほうがうまく治せる場合もありますし、アンカースクリューを併用すれば、表側矯正となんら変わらず治せます。
当院では他医院で舌側矯正は無理と断られた患者様が舌側矯正を施術してキレイになっています。
目立つ装置に抵抗があり矯正治療をあきらめていた方、裏側矯正でステキな歯並びを手に入れましょう!
部分矯正
などが挙げられます。
要するに、治したい箇所以外の歯列、かみ合わせに問題がないことが条件になります。
全てのかみ合わせを治す通常の矯正治療と比較して、
などが挙げられます。
| 学歴 |
松本歯科大学卒業 |
|---|---|
| 職歴 |
松本歯科大学歯科矯正学講座在籍(6年間) |
| 所属学会 |
日本口蓋裂学会 |
| 研修会 |
矯正治療 Alexsander研修会 MEAW研修会 |
| 資格 |
歯学博士 |
| 趣味 |
ギターを弾くこと(ギターの巨匠、中川イサト氏から譲り受けたMorris S-135Rを愛用しています!) |
当院ではプライバシーを重要視すべき患者様、大きな声で泣いちゃうお子様、お子様連れのお母様に向けた完全個室の治療室・ケアルーム、また、患者様とゆっくりとお話することが出来るカウンセリングルーム、レセプションルーム等を備えています。従来の被ばく量の10分の1でデジタル撮影可能なレントゲン、診察室には最新機器を導入し、妊娠中のお母さん、お子様もご安心して診療を受けられます。

| 時間帯 | 月 | 火 | 水 | 木 | 金 | 土 | 日 |
|---|---|---|---|---|---|---|---|
| 午前 9:00~12:30 |
● | ● | ● | ☆ | ● | ● | - |
| 午後 14:30~19:00 |
● | ● | ● | ☆ | ● | 13:30 ~ 17:00 |
- |
1人は少し不安!と言う方は、ご家族やお友達同士で来て頂いても大丈夫です。
当院での矯正治療内容や期間、費用について詳しくお話し致します。また、患者様が抱える矯正についての疑問や不安を解決します!
無理に矯正治療をすすめることはありませんのでお気軽にどうぞ。
お時間は約30分程度となります。
※下記カレンダーより空き枠(11:20 〇等の表記)のある日時を確認し、お申し込みフォーム内のご予約希望日時を選択してください。